新闻中心
NEWS CENTER
近日,市四医院骨一科收治了一位特殊患者,该患者因车祸伤致骨盆多处骨折,经CT检查后,发现该患者骨盆有大大小小的骨折达8-10处,左侧骶髂关节明显脱位,双侧耻骨骨折。
对于这样多处严重骨折的患者,要想把所有骨折块完全复位且固定,是一种具有挑战性和高难度的手术;
面对这一困境,市四医院骨一科手术团队联合数字医学中心,通过术前的骨盆模型三维重建,模拟复位,设计骶髂螺钉导航模板并3D打印,术中通过导板引导,成功置入骶髂螺钉,为患者进行手术治疗。


骨盆术前三维模型和模拟复位--正位前面观


骨盆术前三维模型和模拟复位--正位后面观
整个手术1小时内完成,通过术后CT影像证实3D打印导航模板引导骶髂螺钉置入安全、准确、创伤较小,手术时间短,患者也很快得到了较好的恢复。


模拟置钉和术后钉道


导板设计



术中C臂
市四医院骨科作为省级重点学科,在省内较早将3D打印技术应用于骨科手术。
此次科室较早开启了我市3D打印导板辅助骶髂关节螺钉置入治疗骶髂关节严重脱位的先河。


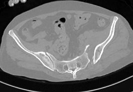
术前CT和术后CT比较
手术的成功再次验证了3D打印技术辅助临床手术的优势,能帮助患者减少创伤,改善术后疗效,加快恢复进程。
自贡市第四人民医院数字医学中心将致力于解决临床问题,为患者提供实际需求为切入点,不断改进和研发与临床紧密结合的新技术。
急救电话:0813-120 预约挂号电话:0813-2401126、0813-2401026 投诉电话:2300337
联系电话(传真):0813-2201981 电子邮箱:zg_120@126.com 咨询电话:0813-2102560
南湖总院:四川省自贡市自流井区紫薇路1331号 檀木林院区:四川省自贡市自流井区檀木林街19号 汇东院区:四川省自贡市自流井区丹桂大街400号
办公时间:上午8:00-12:00,下午14:30-17:30(周一至周五,节假日除外)
蜀ICP备13006683号-1Copyright © 2002-2026 四川省自贡市第四人民医院 自贡市急救中心 四川卫生康复职业学院附属医院 All Rights Reserved