新闻中心
NEWS CENTER
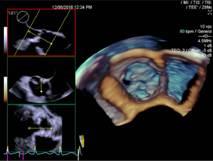
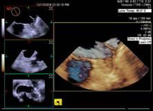
自贡市第四人民医院超声医学科自今年6月开展自贡市首例局部麻醉下经食道超声心动图检查以来,近日,该科又率先在川南开展了局部麻醉下经食道四维超声心动图检查。
患者袁先生,有心脏二尖瓣及主动脉瓣杂音。心血管内科医生怀疑二尖瓣和主动脉瓣瓣膜病。12月5日早上,在超声室行局部麻醉下经食道四维超声心动图检查,清晰显示主动脉瓣重度狭窄,钙化呈功能二叶,排除了二尖瓣瓣膜病变,给临床提供了依据。


此项新技术的开展不仅能克服经胸的肺气、肥胖、胸廓畸形等因素的干扰,还可以更加直观全面准确的诊断疾病,是心脏超声诊断的“新武器”,大大提高了心脏方面的诊断水平。
上一条:
共建医联体 协作再前行下一条:
震惊!原来对口帮扶还可以解决这些难题……急救电话:0813-120 预约挂号电话:0813-2401126、0813-2401026 投诉电话:2300337
联系电话(传真):0813-2201981 电子邮箱:zg_120@126.com 咨询电话:0813-2102560
南湖总院:四川省自贡市自流井区紫薇路1331号 檀木林院区:四川省自贡市自流井区檀木林街19号 汇东院区:四川省自贡市自流井区丹桂大街400号
办公时间:上午8:00-12:00,下午14:30-17:30(周一至周五,节假日除外)
蜀ICP备13006683号-1Copyright © 2002-2026 四川省自贡市第四人民医院 自贡市急救中心 四川卫生康复职业学院附属医院 All Rights Reserved