新闻中心
NEWS CENTER

近日,自贡市第四人民医院超声医学科成功开展我市首例局麻下经食道超声心动图检查,随着该技术的开展,将为多种心脏和大血管疾病的诊断提供新的窗口,这标志着市四医院超声检查技术又迈上了一个新的台阶。
经食道超声心动图(TEE)有局部麻醉和全身麻醉两种方式,该技术是将食道探头置于食道或胃底,从心脏后方向前扫查心脏。不仅克服了经胸超声图像受肺气肿、肥胖、胸廓畸形等因素影响的局限性,而且由于食道探头紧邻左心房,能清晰显示心脏后部结构的细微结构,较经胸超声心动图(TTE)明显提高对某些心脏疾患诊断的敏感性和特异性。

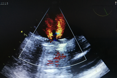
患者邹女士,风湿性心脏病二尖瓣置换术后13年,前几天经胸超声心动图提示二尖瓣机械瓣少量反流,怀疑是否有人工二尖瓣机械瓣瓣周漏。6月14日一早,在市四医院超声医学科彩超室,医务人员为其行局麻下经食道超声心动图检查,清晰显示反流束来自于瓣环内,明确了没有瓣周漏,给临床诊断提供了很好的依据。
据了解,超声医学科将陆续推出全麻下经食道超声心动图检查、经食道三维、四维超声心动图等特色技术,从立体各方位观察病变部位,更好的为患者服务。
急救电话:0813-120 预约挂号电话:0813-2401126、0813-2401026 投诉电话:2300337
联系电话(传真):0813-2201981 电子邮箱:zg_120@126.com 咨询电话:0813-2102560
南湖总院:四川省自贡市自流井区紫薇路1331号 檀木林院区:四川省自贡市自流井区檀木林街19号 汇东院区:四川省自贡市自流井区丹桂大街400号
办公时间:上午8:00-12:00,下午14:30-17:30(周一至周五,节假日除外)
蜀ICP备13006683号-1Copyright © 2002-2026 四川省自贡市第四人民医院 自贡市急救中心 四川卫生康复职业学院附属医院 All Rights Reserved