微创中的微创!我科于内自同城区域内率先开展经远端桡动脉行冠心病介入治疗

时间:2023-09-21 浏览量:2262 来源: 作者:

    随着冠状动脉诊疗技术和器械的不断更新,在冠状动脉造影及介入治疗中,桡动脉已经基本取代股动脉。相比于股动脉入径,桡动脉入路不用卧床,能显著降低出血并发症,增加患者的舒适度。
时代在进步,技术在革新,人们在思考:还能让患者更舒适吗,创伤还能更小吗?
    2017年Kiemeneij等首次报道经远端桡动脉入径(dTRA)行冠状动脉介入诊疗后,这一技术逐渐受到关注。人们发现,远桡术后压迫的时间更短,桡动脉闭塞发生率更低,且因压迫止血时不阻塞静脉,患者舒适度大大提高。
    遗憾的是,因为技术较新,且血管比传统的桡动脉更细,在我市经远桡行冠心病介入治疗尚未能开展。
    近日,自贡四院心内科成功对一名支架内重度再狭窄的“韦先生”经远端桡动脉做了支架!韦先生告诉我们,第一次做支架时,是在常规的桡动脉,术中的疼痛以及术后止血器压迫带来的不适,至今还历历在目:穿刺部位手部肿胀、青紫,压迫器松解之前腕关节需要严格伸直制动,连拿碗筷这种简单的动作都很不方便。
    考虑到患者不愉快的经历,我院心内科罗裕博士从远端桡动脉为他进行了造影,当发现他支架内再狭窄达到95%时,心内科团队又经远端桡动脉做了支架,手术过程十分顺利。

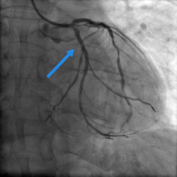
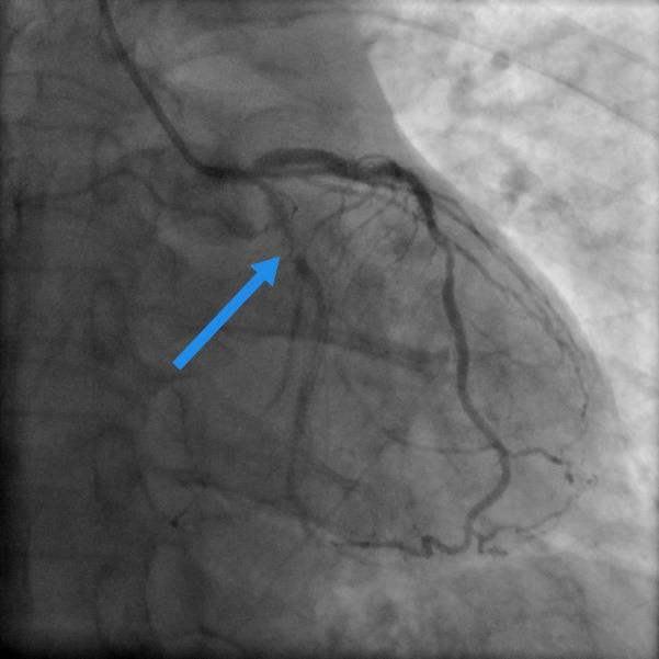
左图术前旋支狭窄95%(箭头处),右图术后狭窄完全消失。
    整个过程韦先生无明显痛感,术后4小时即可松解,比传统压迫时间少了整整2小时,不但可以吃饭、写字,而且没有皮下淤血、血肿,恢复得又快又好。
左图远端桡动脉穿刺,右图传统桡动脉穿刺。
    小结:远端桡动脉入径具有微创、安全、术后护理方便、患者恢复快、并发症少等优势。
    展望:期待手术医生们不断努力,对技艺精益求精,不断提高病人的舒适度和手术的安全性。

科室介绍
医生介绍
门诊排班


急救电话:0813-120  预约挂号电话:0813-2401126、0813-2401026 投诉电话:2300337
联系电话(传真):0813-2201981  电子邮箱:zg_120@126.com 咨询电话:0813-2102560

南湖总院:四川省自贡市自流井区紫薇路1331号  檀木林院区:四川省自贡市自流井区檀木林街19号 汇东院区:四川省自贡市自流井区丹桂大街400号
办公时间:上午8:00-12:00,下午14:30-17:30(周一至周五,节假日除外)

蜀ICP备13006683号-1Copyright © 2002-2026 四川省自贡市第四人民医院 自贡市急救中心 四川卫生康复职业学院附属医院 All Rights Reserved