川南首例!!自贡四院心内科完成ECMO支持下右冠CTO开 通+左冠旋磨后支架植入

时间:2023-09-01 浏览量:3453 来源: 作者:

    正如没有一片树叶是相同的,冠心病患者的病变也各不相同,对于极其高危复杂钙化的病变,药物治疗效果差,外科开胸创伤大恢复慢,常规放支架又面临着心功能崩溃的风险,这种情况下在ECMO(体外肺膜)支持下行支架植入是国际国内公认的好方法,但该技术需要麻醉、监护、血管外、杂交手术室等团队配合,对手术医生的技术、经验、临场判断等各方面的要求更是达到了最高级,国内仅为数不多的医学中心可以常规独立开展。近日,自贡四院心内科对一名高危复杂冠心病患者成功进行了ECMO辅助下的微创手术。

    患者董阿姨是一名近70岁的老年女性,有长期糖尿病,长期没有控制血糖,最近三个月反复胸痛,发作起来浑身冷汗,有濒死感,精神状态极差,不能耐受任何体力活动,上厕所洗脸都很困难。当地医院冠脉造影显示冠脉狭窄非常严重,建议外科开刀。患者和家属均拒绝外科,辗转来到自贡四院心内科,罗裕主任对该病例高度重视,组织全科进行病例讨论,对手术的风险进行了预判并制定了紧急预案。在充分告知家属风险的情况下,准备在主动脉球囊反搏(IABP)支持下行介入治疗。可就在患者刚上台准备造影的时候,患者再次出现大汗淋漓,全身湿冷,不能平卧。罗裕主任立即终止了手术,并告知家属,如果不接受外科开刀,在ECMO支持下放支架是唯一的办法,家属经商议后同意。
    心内科立即联系重症医学科、血管外科、麻醉科、杂交手术室,进一步讨论手术过程中可能存在的风险。在得知ECMO管路全省缺货的时候,设备科钟为兵主任立即联系了生产商从陕西紧急调配了管路。术前的筹备工作全部落实后,手术在紧张有序的气氛中开始了。
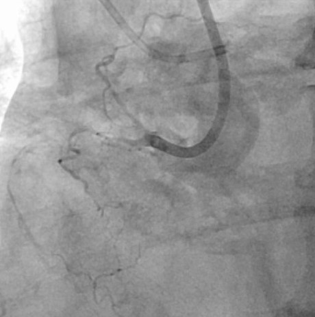
    麻醉顺利,血管外科通道建立,ECMO成功运转,但困难如期而至。患者的左右血管都存在严重病变,其中右边是完全闭塞的,而且看不出堵塞的入口在哪里,进攻的导丝没有方向,这类病变处理的难度系数是最高的。罗裕主任凭借丰富的手术经验,利用不同导丝的触觉反馈,首先将微导管引导入冠脉结构,再换用不同硬度和不同塑形的导丝成功突破远端纤维帽,有惊无险的开通了右边血管。

左图术前右冠,右图术后右冠
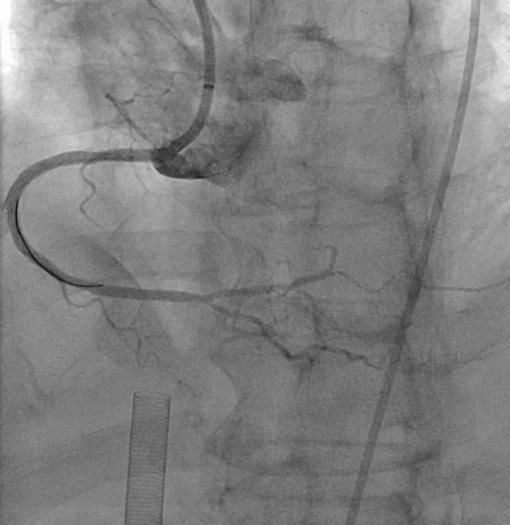
    患者的左边血管堵塞也极其严重,主干道狭窄99%,合并钙化、弥漫、分叉,在预扩张球囊呈现明显的“腰征”的情况下,罗裕主任果断选择了旋磨治疗,1.5mm的磨头5次后通过,最后成功植入两枚支架。

左图术前左冠,右图术后左冠
    手术历经近3小时,同台对患者右冠、左冠进行了完全血运重建。在ECMO的支持下,患者生命体征平稳,手术顺利,病人安返监护病房。术后生命体征稳定,当日ECOM即停机,近日患者已康复出院。
    这样高危复杂合并钙化的冠脉病变,是对心血管介入医生的重大挑战,同时也考验医疗单位的综合救治能力。在各级院领导的大力支持下,经过多学科的团队作战,大家责任明确,分工细致,配合密切,换来手术的成功,杂交手术室同一时间内有近20人在为该患者做精心照顾,充分体现了自贡市第四人民医院抢救重症患者的能力和求真务实的责任心。

    ECMO支持下的复杂高危冠心病介入治疗对术者的能力、相配套的医疗设备、各科室的协同作战提出了很高的要求,全国能够独立常规开展的单位和个人并不多。该例手术的成功实施,标志着自贡四院心内科冠心病介入治疗水平进入了新阶段,达到省内一流,区域领先的水平。

急救电话:0813-120  预约挂号电话:0813-2401126、0813-2401026 投诉电话:2300337
联系电话(传真):0813-2201981  电子邮箱:zg_120@126.com 咨询电话:0813-2102560

南湖总院:四川省自贡市自流井区紫薇路1331号  檀木林院区:四川省自贡市自流井区檀木林街19号 汇东院区:四川省自贡市自流井区丹桂大街400号
办公时间:上午8:00-12:00,下午14:30-17:30(周一至周五,节假日除外)

蜀ICP备13006683号-1Copyright © 2002-2026 四川省自贡市第四人民医院 自贡市急救中心 四川卫生康复职业学院附属医院 All Rights Reserved