胃食管反流 “照妖镜”:胃超声造影助你守护胃部健康

时间:2025-09-10 浏览量:3304 来源:自贡市第四人民医院 作者:缪娟

在现代快节奏的生活中,越来越多的人遭受着消化系统疾病的困扰,其中胃食管反流病(GERD)便是较为常见的一种。这种疾病不仅会给患者带来烧心、反酸等不适症状,长期不愈还可能引发更严重的并发症。而胃超声造影作为一种成熟的检查技术,正逐渐成为诊断胃食管反流及相关胃部疾病的重要手段。接下来,我们将深入了解胃食管反流与胃超声造影之间的关联。

胃食管反流:被忽视的 “健康杀手”

胃食管反流病,简单来说,就是胃内容物反流至食管,引起不适症状和(或)并发症的一种疾病。

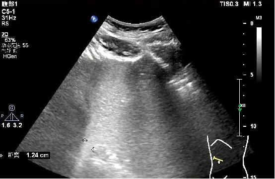
胃造影:

检查所见:贲门上方未见确切囊状扩张,观察贲门5min可见显影剂大于5次从胃反流入食管下段,最大反流束宽约12.4mm。

检查提示:胃食管反流性疾病

(一)常见症状

烧心和反酸是胃食管反流病最典型的症状。烧心常表现为胸骨后或心窝处的烧灼感;反酸则是指胃内酸性液体反流至口腔,带来明显的酸味。此外,患者还可能出现胸痛、吞咽困难、上腹部疼痛、咳嗽、气喘等不典型症状。

(二)发病原因

胃食管反流病的发病与多种因素有关。如肥胖、饮食习惯不良(长期进食辛辣、油腻食物,暴饮暴食等)、生活方式不健康(吸烟、饮酒、长期精神紧张等)。

(三)潜在危害

长期的胃食管反流会引发食管炎,严重时可导致食管溃疡、出血,甚至与食管腺癌等恶性疾病的发生密切相关。

胃超声造影:胃部检查的 “新利器”

传统的胃镜检查是诊断胃食管反流病及胃部疾病的 “金标准”,但有些患者对此存在恐惧心理,且不适用于一些有禁忌症的患者。而胃超声造影技术的出现,为胃部疾病的检查提供了新的选择。

(一)检查原理

胃超声造影是通过让患者口服造影剂(类似芝麻、玉米糊),使胃腔充盈,造影剂充满胃腔后,超声探头就可以像 “雷达” 一样,清晰地观察胃壁的结构、蠕动情况,判断是否存在病变,包括反流的情况等。

(二)优势特点

胃超声造影具有诸多优势。首先,它属于无创、无痛、无辐射的检查方法,其造影剂对人体无害,口感良好,患者容易接受,尤其适用于儿童、老年人、孕妇,以及对胃镜检查有恐惧心理或存在胃镜检查禁忌症的患者。其次,它可以对胃壁进行详细观察,并实时动态观察胃的蠕动和排空情况,对于早期发现胃部病变具有重要意义。同时,胃超声造影检查操作简便,能够在治疗过程中多次进行检查,观察病情变化及治疗效果。

(三)临床应用?

在胃食管反流病的诊断中,胃超声造影可以观察食管下段有无反流征象,包括反流的频率、程度、反流物性质,以及食管下括约肌的形态和功能。此外,对于胃食管反流病引起的并发症,如食管炎、食管溃疡等,胃超声造影也能发现异常表现,为临床治疗提供重要依据。

胃食管反流病是威胁人们消化系统健康的常见疾病,而胃超声造影作为一种安全、无创、有效的检查手段,为胃食管反流病的诊断和治疗带来了新的希望。

急救电话:0813-120  预约挂号电话:0813-2401126、0813-2401026 投诉电话:2300337
联系电话(传真):0813-2201981  电子邮箱:zg_120@126.com 咨询电话:0813-2102560

南湖总院:四川省自贡市自流井区紫薇路1331号  檀木林院区:四川省自贡市自流井区檀木林街19号 汇东院区:四川省自贡市自流井区丹桂大街400号
办公时间:上午8:00-12:00,下午14:30-17:30(周一至周五,节假日除外)

蜀ICP备13006683号-1Copyright © 2002-2026 四川省自贡市第四人民医院 自贡市急救中心 四川卫生康复职业学院附属医院 All Rights Reserved