了解踝关节骨关节炎

时间:2024-12-25 浏览量:4710 来源:自贡市第四人民医院 作者:周欣

一、引言

在日常生活中,我们在行走、跑步、跳跃时踝关节承受着身体90%的重量,然而,随着年龄的增长、过度肥胖、过劳、过度使用、外伤等其他因素的影响,踝关节也会像膝关节一样发生“骨关节炎”。今天,我们就来聊一下踝关节骨关节炎这一常见的关节疾病吧。

二、什么是踝关节骨关节炎?

踝关节骨关节炎,简称AOA(Ankle Osteoarthritis),是一种慢性关节疾病,发病率约为万分之三,占全身骨性关节炎的13%,大约每万人发生3例,女性多于男性,主要特征是踝关节软骨的退行性变和关节的骨质增生。随着病情的进展,软骨逐渐磨损、消失,关节间隙变窄,导致关节面直接摩擦,引发疼痛、肿胀、僵硬和关节活动受限、甚至残疾。

三、踝关节骨关节炎的病因

踝关节骨关节炎的病因主要包括以下几个方面:

年龄因素:随着年龄的增长、运动量的增加,踝关节软骨的自然磨损加剧,这是导致踝OA的主要原因之一。

创伤与劳损:踝关节的严重创伤(如骨折、扭伤)或长期劳损(如频繁的高强度运动)都会加速软骨的磨损和退变。

遗传因素:有骨关节炎家族史的人,其患病风险较普通人高。

体重因素:过重的体重会增加踝关节的负担,加速软骨的磨损和退变。

其他因素:如关节畸形、关节感染、代谢性疾病,也可能导致踝关节骨关节炎的发生。

四、踝关节骨关节炎的临床表现

踝关节骨关节炎的临床表现主要包括以下几个方面:

疼痛:踝关节疼痛是踝关节骨关节炎最常见的症状之一。疼痛通常在活动后加重,休息后缓解。

肿胀:踝关节周围可能出现肿胀,尤其是在病情较重或活动过度时。

僵硬:早晨起床或长时间静止不动后,踝关节可能出现明显的僵硬感,活动后可逐渐缓解。

活动受限及步态异常:随着病情的进展,因关节退变加重,踝关节出现功能障碍,甚至踝畸形及步态异常,如跛行,影响日常行走和运动。

其他症状:如活动时出现踝关节摩擦音、踝关节畸形等。

五、踝关节骨关节炎的诊断

目前应用最广的是踝关节骨关节炎分期为Takakura-Tanaka分期:

0期:踝关节平行,无关节炎征象;

Ⅰ期:踝关节平行,无关节间隙狭窄,有早期软骨下骨硬化或骨赘形成;

Ⅱ期踝内侧关节间隙狭窄,无软骨下骨接触;

Ⅲ期又可分Ⅲa期和Ⅲb期:

Ⅲa期 踝内侧间隙消失,软骨下骨接触面局限于内侧;

Ⅲb期 踝软骨下骨接触延伸至距骨穹窿部;

Ⅳ期 踝关节间隙消失伴全部软骨下骨接触。

确诊踝关节骨关节炎,通常需要进行一系列的检查和评估,可通过以下这些检查确诊该病:

体格检查:踝关节的外观出现畸形、踝活动范围减小、踝关节的压痛情况等。

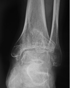
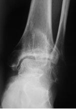
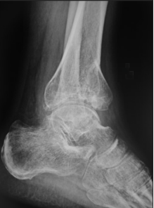
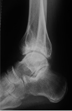
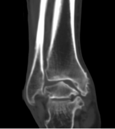
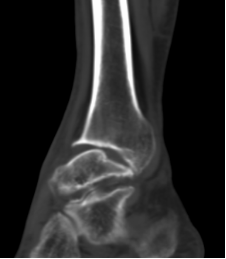
影像学检查:最重要的诊断依据:如X片检查、CT检查、MRI检查、超声波检查等,其中X片及CT对诊断尤为重要。

X片:检查可以显示关节间隙狭窄、骨赘形成、软骨下骨硬化等特征性表现;

CT检查:提供高分辨率的骨结构影像,特别适用于评估关节内骨折和骨赘的形成情况;

MRI检查:更清楚、详细地显示软骨、滑膜组织的病变情况,它对早期软骨损伤及关节内软组织异常有较好的诊断价值,特别适用于复杂病例或需要进一步了解软骨状态的患者;

超声波检查:有助于评估关节积液量。

六、踝关节骨关节炎的治疗

踝关节骨关节炎的治疗目标是缓解疼痛、改善关节功能、延缓病情进展。治疗方法包括保守治疗和手术治疗

1.保守治疗(非手术治疗):

A一般治疗:适当休息,减少不合理的运动,避免长时间跑、跳、蹲等加重踝关节负担的动作。同时,保持健康的体重(肥胖需减重),佩戴支具减轻踝关节的负荷。

B药物治疗:常用的药物包括非甾体抗炎药(如布洛芬、塞来昔布、依托考昔等)、软骨保护剂(如氨基葡萄糖、硫酸软骨素、玻璃酸钠)等。这些药物可以缓解疼痛、减轻炎症、延缓软骨退变。

C物理治疗:如热敷、冷敷、按摩、针灸、经皮神经电刺激等。这些治疗方法可以增加局部血液循环、减轻炎症反应、改善关节功能。

2.手术治疗:

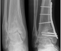
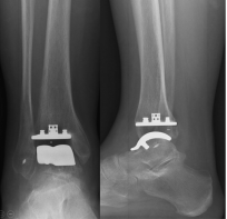
对于保守治疗无效且病情严重的患者,可能需要考虑手术治疗。手术方法包括关节镜手术清理关节腔、踝关节融合、踝关节置换等。

七、踝关节骨关节炎的预防

预防踝关节骨关节炎的关键在于保护踝关节、减轻其负担。以下是一些预防措施:

避免踝关节受伤:在进行体育活动时,应穿戴合适的鞋子和防护装备,以降低受伤风险。

保持健康的体重:通过均衡饮食和适量运动,保持健康的体重,以减轻踝关节的负担。

适度运动:选择低冲击力的运动方式,如游泳、骑自行车等,以增强踝关节周围的肌肉力量,提高关节的稳定性。

踝关节锻炼:进行踝关节的灵活性和力量训练,有助于改善关节功能、降低骨性关节炎的风险。

避免长时间站立或久坐:长时间保持同一姿势会增加踝关节的压力。如果需要长时间站立或久坐,建议定期休息并进行轻微的踝关节活动。

结语

踝关节骨关节炎虽然无法完全治愈,但通过积极的治疗和预防措施,我们可以有效缓解疼痛、改善关节功能、延缓病情进展。希望本文能够帮助大家更好地了解踝关节骨关节炎,并在日常生活中加以注意和防范。

急救电话:0813-120  预约挂号电话:0813-2401126、0813-2401026 投诉电话:2300337
联系电话(传真):0813-2201981  电子邮箱:zg_120@126.com 咨询电话:0813-2102560

南湖总院:四川省自贡市自流井区紫薇路1331号  檀木林院区:四川省自贡市自流井区檀木林街19号 汇东院区:四川省自贡市自流井区丹桂大街400号
办公时间:上午8:00-12:00,下午14:30-17:30(周一至周五,节假日除外)

蜀ICP备13006683号-1Copyright © 2002-2026 四川省自贡市第四人民医院 自贡市急救中心 四川卫生康复职业学院附属医院 All Rights Reserved