乳牙坏了要补吗?

时间:2024-09-25 浏览量:3087 来源:自贡市第四人民医院 作者:颜麟

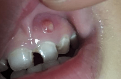
小朋友牙齿上面长了小黑点,牙齿坏了,需要处理吗?

老年人常说:小孩子嘛,反正牙齿都是要换的,补来干嘛,乱花钱。

可是事实真的是这样吗?

首先我们先来聊聊这些小黑点究竟是什么吧。

1.食物残渣、色素附着

牙齿的结构上会存在有不同深浅的沟纹,每次吃完食物,尤其是黑色一类的深色食物后,没能及时清洁牙齿,那么就会有残渣以及色素附着在牙齿上。通常来说,这种情况通过刷牙就可以很好的做到清洁,保持口腔健康。

2.牙菌斑

长期不做好口腔清洁,牙齿上就会有软垢不断堆积,不断形成牙菌斑。这种情况小朋友是比较少见的,一般都是出现在成人。这种情况就需要进行全口牙周洁治,也就是我们通常说的洗牙,让医生来辅助清洁牙齿。

3.龋齿

龋齿也就是我们常说的虫牙,但不是真的有虫在咬我们的牙齿,而是细菌不断腐蚀我们的牙齿形成龋洞。大部分小朋友牙齿上的黑点都是发生了龋坏,主要还是清洁不到位,甜食饮料等吃多了造成的,出现了这种情况就应该及时到医院诊断治疗哦。

为什么会有龋齿呐?

小朋友的乳牙构成是和恒牙有差别的,有机物成分更多,更容易遭到腐蚀,而且小朋友的饮食习惯往往更为精细,更爱吃甜食饮料,口腔清洁不到位,那么更容易发生龋坏。往往乳牙的龋病发展是非常迅速的,在牙髓还未坏死的时候可能就会出现牙龈长包,脸肿等情况,很多时候都是出现了这种情况家长才开始重视小朋友的口腔情况。

乳牙龋坏,不及时处理会出现什么情况呐?

龋齿不处理,会逐层侵犯我们牙齿。当出现冷热酸甜敏感不适的症状时,已经提醒我们龋齿发展到了一定深度。继续进行发展,就会侵犯到牙髓内部,出现冷热疼痛,夜间疼痛无法入睡等症状。

乳牙龋坏疼痛会影响吃饭,咀嚼功能降低,进而更容易出现挑食等情况;

乳牙大面积坏了以后,边缘锐利,常常刺伤小朋友的舌头及颊粘膜而形成创伤性溃疡。

乳牙如果长期发炎,会影响后继恒牙的萌出,导致恒牙没有足够的位置萌出或者是萌出位置异常,造成牙齿排列不齐,成年后影响咀嚼功能和美观。

因此,无论是对于小朋友来说,还是成年人,牙齿发生龋坏都应该及时处理,及早进行龋齿充填,早期处理,在整个操作过程中不会有疼痛的情况发生,这样也才可以控制病情进一步发展。

急救电话:0813-120  预约挂号电话:0813-2401126、0813-2401026 投诉电话:2300337
联系电话(传真):0813-2201981  电子邮箱:zg_120@126.com 咨询电话:0813-2102560

南湖总院:四川省自贡市自流井区紫薇路1331号  檀木林院区:四川省自贡市自流井区檀木林街19号 汇东院区:四川省自贡市自流井区丹桂大街400号
办公时间:上午8:00-12:00,下午14:30-17:30(周一至周五,节假日除外)

蜀ICP备13006683号-1Copyright © 2002-2026 四川省自贡市第四人民医院 自贡市急救中心 四川卫生康复职业学院附属医院 All Rights Reserved