最真诚的谢意,浓浓的医患情

时间:2022-04-23 浏览量:5038 来源:自贡市第四人民医院神经外科 作者:付小花

近日,自贡市第四人民医院神经外科收到一面材质和做工都相当精美的锦旗。咋子回事安?原来,72岁的黄爷爷头昏、头部持续性胀痛、左侧肢体乏力已经两个多月了,在外院行核磁共振(MRI)提示:右侧基底节区占位性病变。于外院对症处理后症状未缓解,遂来到自贡四院神经外科需求治疗,诊断为右岛叶胶质瘤。

 

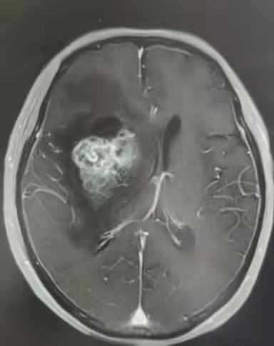
术前MRI提示右侧岛叶占位性病变

 

术前三维重建可见肿瘤对传导束有嵌压

手术切除是治疗右岛叶胶质瘤最为主要的手段,岛叶胶质瘤的手术对神经外科医师来讲一直是严峻的考验,岛叶为大脑深部皮层的一部分,该部位胶质瘤周围有重要脑功能区(语言、思维、记忆力等)、侧裂血管、豆纹动脉及内囊(重要中枢神经中继站,损伤可致患者偏瘫)等重要结构,手术切除术时难度大,存在术中、术后出血,肿瘤切除不完全、易损伤正常脑功能区等情况。虽难度很大,但结合黄爷爷的相关检查结果及身体条件情况,神经外科兰宗铭、陈立珂、邓云良医生团队还是决定为黄爷爷做手术切除术,但要多采取一个辅助装备---超声。

在征得黄爷爷及家人同意,经过各方面充分准备后,神经外科兰宗铭、陈立珂、邓云良医生团队在全麻下为黄爷爷行显微镜下术中超声辅助下右侧岛叶占位病变切除术+脑脊液漏修补术+开颅探查术。

 

术中超声可见肿瘤异常回声

为什么要多超声这一辅助装置?术中超声容易显示血供丰富的病变,低级别胶质瘤可通过增强色阶显示肿瘤范围。不同病理特点,不同深度的胶质瘤其超声声像图表现有所差异。B型超声在切除脑胶质瘤术中能够准确判定肿瘤的位置,为术者选择何种手术入路、何处切开皮层等方面提供了明确且价值重要的依据。并可以实时监测胶质瘤的切除,减少残留程度,使肿瘤切除的精确度及患者功能保护得到了极大提高,尤其是切除功能区和深部胶质瘤重要的辅助手段。

 

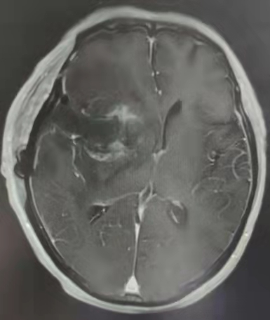
术后复查可见肿瘤基本切除

 

术后黄爷爷功能恢复好

出院后的黄爷爷专程跑到自贡市第四人民医院汇东分院的医务科送上感谢信,后又到四医院檀木林本部送上锦旗,以表示他对神经外科的兰宗铭、陈立珂、邓云良等医生至真至诚的感谢。

 

我愿天地炉,多衔扁鹊身。除人类之病痛,助健康之完美一直是身为医者秉承的信念与目标。在感受与黄爷爷这份浓浓医患情的同时,自贡四院神经外科的医务人员也将继续一如既往,不忘初心,全心全意为人民健康的保驾护航。

急救电话:0813-120  预约挂号电话:0813-2401126、0813-2401026 投诉电话:2300337
联系电话(传真):0813-2201981  电子邮箱:zg_120@126.com 咨询电话:0813-2102560

南湖总院:四川省自贡市自流井区紫薇路1331号  檀木林院区:四川省自贡市自流井区檀木林街19号 汇东院区:四川省自贡市自流井区丹桂大街400号
办公时间:上午8:00-12:00,下午14:30-17:30(周一至周五,节假日除外)

蜀ICP备13006683号-1Copyright © 2002-2026 四川省自贡市第四人民医院 自贡市急救中心 四川卫生康复职业学院附属医院 All Rights Reserved