罗裕博士团队出手,解决了患者的严重胸痛问题!

时间:2024-12-17 浏览量:2196 来源: 作者:

    81岁的刘奶奶在洗脸刷牙时都会发生胸痛,一些我们看起来很简单的动作,她却要分解成几步才能完成,光是2023年上半年,她就因心绞痛住院4次,还伴随感染和心功能衰竭,随时可能有生命危险……
    原来,刘奶奶12年前在一家医院被查出冠心病,三根血管都严重堵塞。由于病情复杂,当地医院医疗技术有限未能做支架手术,后来请了省上权威专家会诊后,仍然建议做开胸搭桥。害怕做外科手术的刘奶奶选择了保守治疗。
    12年来,刘奶奶病情每况愈下,疾病一天天在加重,从最初的不能走太久,到后来的不能上街买菜,近期发展到不能上厕所、刷牙,几乎每个月都要住院。
    2023年6月,市四医院引进了罗裕博士,他是心脏介入治疗的专家,有着丰富的临床和介入经验。了解到情况后,罗裕博士迅速针对刘奶奶的病情做了分析:药物已经足量但效果很差,且她年纪较大,身体状况差,外科手术已经不能耐受。通过微创手术的方式,在血管中放置支架,是患者唯一的生存希望。然而,手术难度相当大,稍有不慎,患者就可能下不了台。“对于医务人员来说,只要患者还有一线希望,我们就绝不能放弃。”

专家介绍

罗裕,自贡市第四人民医院心血管内科主任,主任医师,同济大学博士,同济大学研究生导师。曾任同济大学附属东方医院冠脉中心行政副主任,分院执行主任。
学术任职
系上海市心血管专业委员会委员;中国老年保健医学研究会晕厥分会委员;国家卫生健康委冠脉介入基地导师。为中国介入心脏病大会、东方会、长城会等国内大会主席团成员,多次在上述大会进行复杂手术直播演示。为韩国峨山医学中心访问学者,日本札幌心脏病中心高级访问学者。
科研成果
发表文章50余篇,其中第一及通讯作者文章21篇,SCI收录10篇;主持了多项浦东新区社发局、上海市卫健委、江西省卫生健康委、四川省医学会课题;主编了《冠状动脉瘤样扩张:从发病机制到临床实践》,参编了《现代心血管病诊疗》、《分子心脏病学》等著作。获国家实用新型专利3项。
专业擅长
回自贡工作后,开展“旋磨+冲击波球囊”治疗严重钙化病变、“ECMO辅助下极高危冠心病介入治疗”“经远端桡动脉行冠脉介入治疗”等技术,填补区域空白。在心律失常,心脏瓣膜疾病,心功能衰竭,高血压,晕厥,卵圆孔未闭,起搏器植入,左心耳封堵等方面积累了丰富的手术和临床经验。

坐诊时间
周四下午(汇东院区)

扫描二维码可快速预约罗裕主任专科专家门诊号

    在市四医院心血管内科介入团队专家反复讨论和制定详细的预案之后,造影检查开始了。刘奶奶的病情比12年前明显加重,不但左侧血管堵塞达到95%,而且原本正常的右侧血管也已经完全堵塞。面对这种情况,只能分两次治疗。罗裕博士团队决定首先打通右侧血管。术中,钢丝顺利通过完全闭塞的位置,但是,由于刘奶奶血管钙化明显,球囊扩张始终不起作用,罗裕博士对病变立即进行了旋磨,每分钟16-20万转的磨头将血管内钙化斑块磨掉,最后,成功放入2枚支架。手术非常顺利,仅用了1个小时。


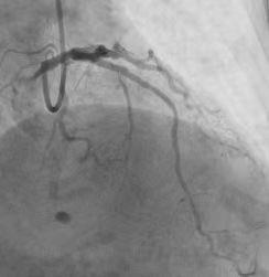
罗裕博士团队为刘奶奶修复后的右边血管

    术后,刘奶奶恢复良好,胸闷胸痛明显减轻,走路轻快,已经能自己上街买菜,高兴的她,拍起了抖音,告诉关心她的朋友自己好了很多。
    令所有人都没有想到的是,刘奶奶长期胃肠道功能不佳,放完支架后需要吃一些活血的药,但吃完药之后她出现消化道出血,血红蛋白由110下降到了55,需要输血才行。这就跟心脏的治疗之间形成了矛盾,左边的血管什么时候才能做呢,还有没有机会做呢?
    由于消化道出血,处理左边血管的计划只能搁置,但是罗裕博士团队对刘奶奶非常关心,经常电话随访,了解患者的病情。终于,罗裕博士焦急地等来了手术最佳时机,今年10月,距离上次手术整整一年之后,刘奶奶的血红蛋白稳定了,身体状态进入到了最佳,罗裕博士决定立即进行介入手术。
    刘奶奶左边的血管比右边更加复杂,除了狭窄之外,还有分叉、钙化、血管瘤、扭曲,手术难度是平时的数倍。导丝艰难通过病变之后,交换旋磨导丝非常困难,在历经10多次旋磨之后,手术成功了。


罗裕博士团队为刘奶奶修复后的左边血管
    
    术后2个月来,刘奶奶再也没有发生过胸闷胸痛,也没有出现消化道出血情况,她经常上街买菜,抖音直播,一遍一遍将她的就医经历告诉大家。
    据了解,罗裕博士自去年6月来到市四医院后,在短短一年半的时间里完成了上百例复杂高危的心脏介入手术,很多过去地级市医院不能做、不敢做的手术在他的手里迎刃而解。罗博士坦言,他回来的最大动力就是能够让家乡的患者不用舟车劳顿到外地就医,让大城市先进的医疗技术能普及到地市级医院。为此,罗裕博士和他的团队正在不懈努力。

科室简介
    实际开放床位120张,是自贡市临床重点专科,是首批通过国家卫生部心脏介入准入的科室,是中国心血管基层医师培训示范中心,也是国家临床医学研究中心协同网络成员单位。是四川罕见病联盟单位,是标准化房颤中心建设单位,国家级标准版胸痛中心,国家级标准版心衰中心建设单位,也是川南地区首家成为国家级瓣膜建设中心的心内科。科室有博士1人,博士后1人,研究生导师1人,主任医师1人,副主任医师8人,研究生11人。

门诊排班

急救电话:0813-120  预约挂号电话:0813-2401126、0813-2401026 投诉电话:2300337
联系电话(传真):0813-2201981  电子邮箱:zg_120@126.com 咨询电话:0813-2102560

南湖总院:四川省自贡市自流井区紫薇路1331号  檀木林院区:四川省自贡市自流井区檀木林街19号 汇东院区:四川省自贡市自流井区丹桂大街400号
办公时间:上午8:00-12:00,下午14:30-17:30(周一至周五,节假日除外)

蜀ICP备13006683号-1Copyright © 2002-2026 四川省自贡市第四人民医院 自贡市急救中心 四川卫生康复职业学院附属医院 All Rights Reserved