房颤治疗新技术|自贡四院心内科成功开展Cardiopulse脉冲电场消融(PFA)治疗心房颤动全国首批应用

时间:2024-09-09 浏览量:2867 来源: 作者:龚林


    近日,我院心血管内科电生理团队在罗裕主任的带领下,成功运用CardiPulse?六瓣花脉冲电场消融导管,为一名阵发性房颤患者实施了房颤脉冲电场消融(PFA)术,这一突破性新技术以快速、安全以及优异的疗效为特点,弥补了原有房颤治疗手段的不足,为心律失常患者,尤其是心房颤动患者带来了福音。
房颤的背景
    心房颤动(房颤)是最常见的心律失常,显著增加中风、心力衰竭(心衰)等风险,严重影响患者生活质量,是心血管内科和神经内科常见的疾病。根据2020年我国第七次人口普查数据,估计我国约有1200万房颤患者。由于约1/3 的患者漏诊,我国实际房颤患者数应高于上述估算数字。
房颤的治疗
    肺静脉及非肺静脉触发灶异常电活动发放是房颤重要的发生机制,而肺静脉电隔离是房颤消融的基石,这在中国及欧洲专家共识和指南中均是IA类最高推荐级别。
    导管消融已被证明是恢复并维持房颤患者正常心跳的有效治疗方法,临床主要采用的是射频(热)和冷冻(冷)两种消融模式,这两种治疗方式被称为房颤消融领域的“冰与火”,治疗中均存在一定弊端:手术时间均较长,且可能导致周围组织严重损伤,甚至并发心房食道瘘、心脏穿孔等严重并发症。
什么是新技术PFA?
    脉冲电场消融(PFA)是基于不可逆电穿孔(IRE)原理的非热能消融技术,可以理解为“电”消融,可降低周围组织损伤风险,具有出色安全性;放电时间短和导管贴靠要求低,具有出色的操作简便性,手术时间大大缩短;消融成功率比原有技术更加优异。
案例
患者信息
    患者张阿婆,反复心悸2+年,症状阵发性发作,每次持续数十分钟不等,抗心律失常药物效果不佳,就诊我院,行心电图提示心房颤动。

术前心电图示房颤


术前心脏彩超左房34mm


手术过程
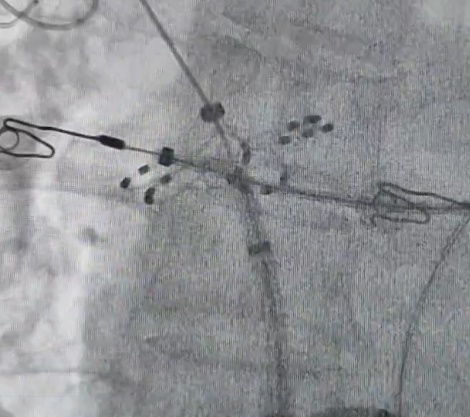
    在华西医院胡宏德教授的指导下,团队使用国产花瓣状脉冲电场消融导管,采用“231”消融策略,在LSPV、LIPV、RSPV和RIPV的口部和前庭进行脉冲消融,实施肺静脉“双重隔离”。
    术中均直接采用脉冲电场消融导管自身标测电极进行了电位标测,消融即刻四根肺静脉电位消失。在术中患者发生房颤,行右上肺静脉电位隔离后房颤终止。所有肺静脉消融完成后观察20min,行肺静脉-心房双向传导阻滞测试,所有肺静脉轻松达到电隔离状态,消融即刻成功,手术结束。整台手术用时不到2h,其中导管左房操作时间40min,安全高效。手术的成功标志着我院心内科团队在房颤治疗上的又一突破,为区域房颤患者的有效救治再添利器。

口部“网篮状”消融

前庭“花瓣状”消融


消融前后腔内电位对比图

心内科介绍
    心内科已独立成科超过20年,目前开放床位120张,已成为集医疗、教学和科研为一体的综合心血管内科诊疗中心,是首批通过国家卫生部准入的心脏介入诊疗治疗医院之一,是自贡市首家一次通过国家级胸痛中心评审的单位,是四川罕见病联盟单位,也是川南地区首家获得国家级“瓣膜建设中心”的心内科。
    科室医护人员共计50余人,其中正高职称1人,博士1人,副高职称8人,中级职称18人,研究生学历11人,研究生导师1人,医生中硕士研究生以上学历者占60%以上。2023年6月心内科全职引进了罗裕博士为心内科主任,他曾任上海同济大学附属东方医院冠脉中心行政副主任,分院执行主任,是中国介入心脏病大会,东方会,长城会等国内顶级大会主席团成员,韩国峨山医学中心访问学者,日本札幌心脏病中心高级访问学者。在复杂冠心病介入治疗,瓣膜病介入,心律失常,心功能衰竭,高血压,晕厥等方面积累了丰富的手术和临床经验。
    科室在省内率先开展了肥厚梗阻性心肌病微颗粒栓塞治疗;在川南地区率先开展了ECMO辅助下的复杂冠心病介入治疗、房颤合并肥厚型梗阻性心肌病“一站式”射频消融术;在内自同城区域率先开展了远端桡动脉介入治疗、TAVR+开窗支架术、Evolut瓣膜植入术、旋磨+冲击波联合治疗钙化病变、经导管二尖瓣钳夹(TEER)等技术;在市内率先开展冠脉内超声检测(IVUS)、冠脉血流储备分数(FFR)、生物可吸收支架植入,肺动脉瓣狭窄球囊扩张术、心脏再同步化治疗器械(CRT、CRT-P/D)的植入等技术。科室在复杂冠心病介入治疗,瓣膜病TAVR和TEER手术,各类起搏器植入术,射频消融以及左心耳封堵等领域均处于省内先进地位。
门诊排班

急救电话:0813-120  预约挂号电话:0813-2401126、0813-2401026 投诉电话:2300337
联系电话(传真):0813-2201981  电子邮箱:zg_120@126.com 咨询电话:0813-2102560

南湖总院:四川省自贡市自流井区紫薇路1331号  檀木林院区:四川省自贡市自流井区檀木林街19号 汇东院区:四川省自贡市自流井区丹桂大街400号
办公时间:上午8:00-12:00,下午14:30-17:30(周一至周五,节假日除外)

蜀ICP备13006683号-1Copyright © 2002-2026 四川省自贡市第四人民医院 自贡市急救中心 四川卫生康复职业学院附属医院 All Rights Reserved