拿什么拯救你,我的“肺结节”

时间:2022-04-02 浏览量:2874 来源:呼吸与危重症医学科 作者:郑艾波

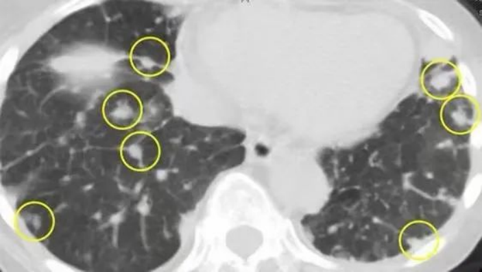
 随着健康体检的普及,人民大众对健康需求增加,越来越多的“肺结节”悄无声息的来到大家身旁,这时很多患者都会产生许多疑问肺结节是个什么东西?从哪里来?是不是肿瘤?需不需手术治疗?

 

 

      地球人都知道,如果考虑它是“危险”的,那就提前把它“干掉”“切”为敬,以绝后患。但我也不是“先知”,我怎么知道它对我有没有危险,因此,应如何对肺结节进行评估和动态观察?“肺结节的去或留”是个问题!

 

 

      知己知彼,才能百战不殆,要想“盘”它,你需要知道一般小于5mm的微小实性结节,恶性概率极低,通常6-12月复查胸部CT。如果发现的是5-10mm的实性肺小结节,建议3-6个月复查,一旦露出恶性征象,就要及时切除,不影响预后。若是7-10mm的部分实性磨玻璃结节也可考虑短期抗感染治疗后复查,并咨询专科医生进一步处理。

 

      人有“好坏”之分,肺结节亦如此。如果大家都认为肺结节是“坏的”,那么它确实比“窦娥还冤”。肺结节良性的常见病因包括炎性病变、感染性肉芽肿、良性肿瘤 、血管性病变等所以对于任何肺部结节,都需要进行仔细评估(这需要交给专科医师):

1)患者的年龄:恶性的概率随患者年龄增加而增大;

2)危险因素:以有相当多研究表明吸烟与肺癌相关,也包括“被动吸烟(四川话叫吸二手烟)”;

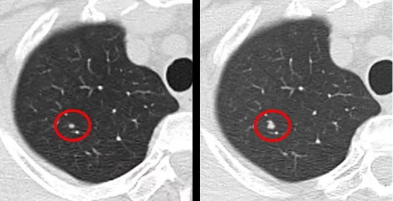
3)胸部CT检查:一般发现一年内结节没有变化,继续随访观察即可,不用太担心。初期可以每三个月复查一次,若长期无变化,可逐渐延长至半年、九个月或一年一次。

       对于肺结节,大家不要过度恐慌,不推荐过于频繁的复查。因为频繁的短期(一个月以内)CT检查,不会增加结节变化信息,反而增加了不必要的辐射。

 

 

 

 

 

 

 

     对于大部分人来讲,10-30mm的结节,在咨询专科医师前提下,权衡利弊后没有什么禁忌的话,可考虑外科手术切除,因为这类病变的恶性概率相对较高,对于8mm以下,连续CT扫描进行随访变化不大的,这类病变的恶性概率低,而切除的技术难度大,可选择继续随访。

 

      对于部分人群肺结节恶性风险及诊断策略有很大差异时,我们临床医师需要综合分析许多资料,综合考虑,从而选择最佳方案,也就是我们的肺结节多学科诊疗模式(MDT)。但我们不推荐“宁可错杀一千,绝不放过一个”这种激进的方法

 

      还有就是肺部“多发结节”的问题,这需要分开来看:

 

1)既往有肿瘤的患者:直径大于等于 10 mm 或由常规胸片检出的多发性肺结节最常由实体器官原发恶性瘤转移所致,而直径小于 5 mm 且邻近脏胸膜或叶间裂的多发性肺结节则更可能为良性病变,如肉芽肿、瘢痕或肺内淋巴结

2)如果既往无肿瘤患者,多发性肺结节的直径小于 5 mm、邻近脏胸膜或叶间裂,且为偶然检出,则更可能为良性病变,如肉芽肿、瘢痕或肺内淋巴结如果多发性肺结节的直径大于等于 10mm 或由常规胸片检出,则最可能由实体器官恶性原发瘤转移所致。

 

        当然,上述情况放在个体身上可能仍存在差异,世间无绝对,都需要我们的精准医学来指引方向,那么就是我们的病理组织取样,有经CT引导下(或彩超引导下)肺穿刺活检、经支气管钳夹活检或穿刺活检,以及通过胸腔镜手术等外科肺活检。

 

 

 

 

 

 

      路漫漫其修远兮,吾将上下而求索,相信不远的将来,拯救“肺结节”,也许将会是“小菜一碟”。

急救电话:0813-120  预约挂号电话:0813-2401126、0813-2401026 投诉电话:2300337
联系电话(传真):0813-2201981  电子邮箱:zg_120@126.com 咨询电话:0813-2102560

南湖总院:四川省自贡市自流井区紫薇路1331号  檀木林院区:四川省自贡市自流井区檀木林街19号 汇东院区:四川省自贡市自流井区丹桂大街400号
办公时间:上午8:00-12:00,下午14:30-17:30(周一至周五,节假日除外)

蜀ICP备13006683号-1Copyright © 2002-2026 四川省自贡市第四人民医院 自贡市急救中心 四川卫生康复职业学院附属医院 All Rights Reserved