肺结节来袭,如何识别并应对孤立性结节?

时间:2025-01-22 浏览量:2215 来源:呼吸与危重症医学科 作者:周丽萍

随着人们对自己健康状况的关注和医疗检查技术的不断提高。不少人在做肺部CT检查时被查出肺部有结节样病变,由于对它的不甚了解,不少人思想负担很重,甚至影响到日常工作和生活,经常会有朋友咨询,肺部CT检查提示肺部孤立性小结节,是恶性还是良性?下面由小编带大家一起去看一下。

 

一、什么是孤立性结节?

        孤立性肺结节(SPN)是指单一、边界清晰、直径≤30mm、周围被含气肺组织包绕,不伴肺不张、肺门淋巴结肿大及胸腔积液的肺部结节。在普通人群胸部 CT 筛查中,SPN 发现率约20% - 50%,其发病率随年龄增长、吸烟史、环境暴露(如石棉、氡气)等因素上升,在中老年吸烟人群中更为突出。其良恶性鉴别诊断及合理处置一直是呼吸科、胸外科等领域关注焦点。

        孤立性肺结节是临床常见的影像学表现,随着影像学技术在体检及疾病筛查中广泛普及,孤立性肺结节检出率显著攀升。SPN可能是早期肺癌的潜在信号,也可能由多种良性病变引发,早期精准判别其性质对改善患者预后意义重大。

 

二、孤立性肺结节影像学特征有哪些?

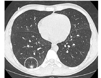
01

胸部X线:

 

        传统筛查手段,对 SPN 敏感度低,难以发现较小(<10mm)及隐匿结节,对SPN敏感度低,较能显示较大结节的位置、大致形态,但细节有限,多作为初步筛查手段。但能初步判断结节位置、大致形态,为后续检查指引方向,对部分钙化明显良性结节有提示作用。

 

 

 

02

胸部CT:

 

 

        SPN评估关键,薄层CT可清晰展现结节细节,如密度(实性、磨玻璃、混合性)、边缘(光滑、分叶、毛刺)、内部结构(有无空洞、钙化)等特征。如磨玻璃结节伴实性成分、边缘毛刺征、胸膜牵拉等常提示恶性可能;良性结节钙化多呈中心性、层状或爆米花状。增强CT依据结节强化程度辅助判断血供,恶性结节多呈中度至高度强化。

03

PET-CT:

 

        从代谢层面洞察结节性质,利用肿瘤细胞高代谢摄取葡萄糖原理,对SPN良恶性鉴别有重要价值,测量标准化摄取值(SUV),SUV值越高,恶性可能越大,但炎性病变也可能出现假阳性,对直径<8mm 结节准确性受限。



三、孤立性肺结节有哪些诊断方法?

 

01

 

临床评估:详细询问病史,包括吸烟史、职业暴露、既往肿瘤病史、呼吸道感染史等;评估症状,持续咳嗽、咯血、体重减轻提示恶性倾向,而急性起病伴发热、咳脓痰多与炎性结节相关。无症状者恶性风险相对低但不能排除。

 

02

 

影像学特征分析及随访:如纯磨玻璃结节早期肺癌概率相对低,但随访中若出现密度增加、实性成分增多常提示恶变;分叶征、毛刺征、胸膜凹陷征等在肺癌中多见,而爆米花样钙化多见于错构瘤等良性病变。对于不确定结节,规律的CT复查观察结节大小、形态变化。实性结节增长缓慢,倍增时间常>400天;恶性磨玻璃结节倍增时间约200 - 400天,若短期内迅速增大多为炎性。

 

03

 

辅助检查:对高度怀疑恶性结节,支气管镜检查可直视气道内病变并活检,用于中央型结节诊断;经皮肺穿刺活检适用于外周型结节,在CT引导下取材,但有气胸、出血等风险,需权衡利弊;肿瘤标志物检测(如癌胚抗原、细胞角蛋白19片段等)有一定参考价值,但单独用于确诊依据不足;胸腔镜手术活检准确性高,同时可完成切除,创伤相对开胸手术小,但为避免过度治疗,只有资深专家和(或)MDT评估均为恶性高风险时,且无法经气管镜和经肺穿刺活检术等检查方法取得病理标本的肺结节,可考虑行胸腔镜下病灶切除及治疗,不推荐单纯为诊断目的而对单个肺结节进行手术活检。

 

 

 

 

 


四、孤立性结节应如何处理?

 

01

 

低危小结节(<8mm,无高危因素):推荐定期胸部CT复查,初始3-6个月,若无变化适当延长间隔,动态监测结节生长态势,避免过度医疗。

 

 

02

 

良性结节:多由感染(结核、真菌等)、炎性假瘤、错构瘤等引起,针对病因抗感染、抗结核等治疗,定期随访确保结节稳定或消退。

 

 

03

 

确诊恶性或高度疑似恶性结节:如患者心肺功能耐受,优先考虑手术切除,胸腔镜微创手术为首选,可实现精准切除同时减少创伤,根据结节位置、大小决定切除范围。对于年龄大肺功能差不能耐受手术的患者,或不愿意接受手术治疗的患者,可行CT引导下经皮微波消融或冷冻消融治疗,也可达到良好的效果。

        总的来说,孤立性肺结节诊疗是复杂系统工程,需多学科协作,需紧密融合影像学、临床资料、病理结果精准判断。未来伴随人工智能赋能影像学诊断、液体活检技术精准化,有望更早期、精准甄别SPN性质,推动诊疗向个体化、高效化迈进,切实改善患者生存预后,减少患者因肺癌带来的负担,提升整体生存率。

 



今天的分享就到这里啦!

我们下次再见!

 

 

作者:周丽萍

编辑:唐红萍

审核:马升军


部分图片来自于网络,侵权即删

 

END

 

 

 

 

 

急救电话:0813-120  预约挂号电话:0813-2401126、0813-2401026 投诉电话:2300337
联系电话(传真):0813-2201981  电子邮箱:zg_120@126.com 咨询电话:0813-2102560

南湖总院:四川省自贡市自流井区紫薇路1331号  檀木林院区:四川省自贡市自流井区檀木林街19号 汇东院区:四川省自贡市自流井区丹桂大街400号
办公时间:上午8:00-12:00,下午14:30-17:30(周一至周五,节假日除外)

蜀ICP备13006683号-1Copyright © 2002-2026 四川省自贡市第四人民医院 自贡市急救中心 四川卫生康复职业学院附属医院 All Rights Reserved