肺炎?肺癌?—程大叔的一场“虚惊”

时间:2024-08-24 浏览量:1743 来源:呼吸与危重症医学科 作者:王丰

肺炎?肺癌?—程大叔的一场“虚惊”

 

20245月,家住荣县的程大叔在没有原因的情况下开始出现咳嗽。刚开始他并没有在意,以为不过是感冒而已,到当地诊所开了一些消炎、止咳药;但吃了一段时间的药,不但咳嗽没有好转,还出现了轻度的胸痛症状。

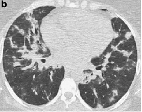
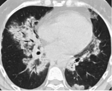
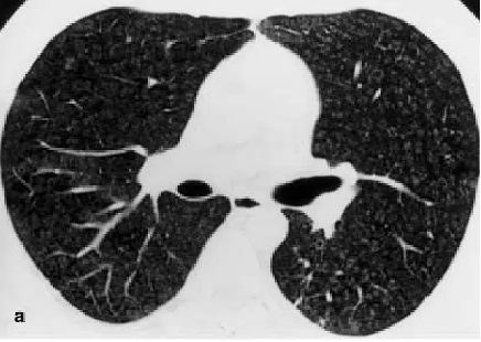
      程大叔来到某医院,医生给他做了一个胸部CT,结果却让他大吃一惊,CT提示:双肺多发结节,性质待定,考虑到程大叔 50多岁,长期抽烟,这可是妥妥的肿瘤高危人群啊,现在又是咳嗽又是胸痛的,难道真的是肺癌?

程大叔的胸部CT

 

 

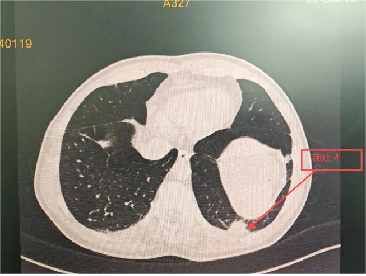
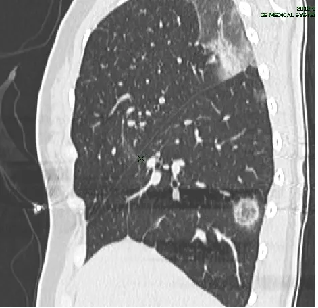
        程大叔的女儿立即将他带到自贡市第四人民医院呼吸与危重症医学科,接诊的医生阅读胸部CT检查单后并分析,考虑良性的炎性病灶可能性更大,以最快的速度安排了肺穿刺活检

病历检查结果

2天后病理结果出来了—— 机化性肺炎

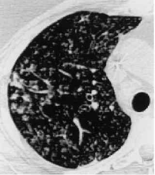
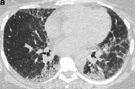
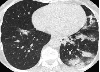
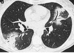
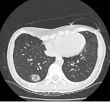
       明确诊断后,主管医师予以相应的治疗方案,程大叔的咳嗽、胸痛症状迅速得到了缓解;1月后复查胸部CT,提示肺部阴影较前明显吸收;程大叔悬着的心,终于放下了。
治疗前

治疗1月后

PART 2

肺炎大家都知道,那机化性肺炎又是什么呢?

        机化性肺炎(OP):是一种具有独特的临床和病理特点的疾病,是对肺损伤的非特异性反应,可以分为

 

1、隐源性或特发性机化性肺炎(COP

病因不明确

 

2、继发性机化性肺炎(SOP

        感染;药物毒性;胶原病;吸入致病原 (可卡因) ;吸入有害气体;胃食道返流;器官移植;放疗;射频等,病因不明确。

典型

影像

斑片状肺泡浸润影(典型COP

不常见

影像

孤立性阴影(局灶性COP

浸润性阴影(浸润性COP

少见影像

1、反晕轮征

2、进行性肺纤维化并网格及实变

3、多发性结节

4、支气管中央型实变

5、不规则线或带

6、小叶周围型阴影

多灶性实变影

 

孤立性病灶

支气管中央型

 

 

 

 结节型

 

 

 

 

纤维化型

 

反晕轮征reverse halo

 

 

PART 3

OP的治疗

 

 

 

 

 

激素疗法

        强的松0.75 - 1.5 mg/kg/d x 4 - 6 周,或0.50 - 0.75 mg/kg/d,每3-4周渐减量至10mg/d维持6-12月,增高剂量不降低复发或提高疗效,增加副作用。重症患者可用激素冲击疗法加强龙0.5-1g/d x3-5d

 

免疫抑制剂

1CTX、硫唑嘌呤:持续、CT网格阴影为主、致纤维化型OP。

2、大环内酯类:阿奇霉素、克拉霉素。

3、辅助治疗复发、激素不耐受、激素减量。

 

 

今天的分享就到这里啦!我们下期再见!

 

编辑:王丰

审核:马升军

 

急救电话:0813-120  预约挂号电话:0813-2401126、0813-2401026 投诉电话:2300337
联系电话(传真):0813-2201981  电子邮箱:zg_120@126.com 咨询电话:0813-2102560

南湖总院:四川省自贡市自流井区紫薇路1331号  檀木林院区:四川省自贡市自流井区檀木林街19号 汇东院区:四川省自贡市自流井区丹桂大街400号
办公时间:上午8:00-12:00,下午14:30-17:30(周一至周五,节假日除外)

蜀ICP备13006683号-1Copyright © 2002-2026 四川省自贡市第四人民医院 自贡市急救中心 四川卫生康复职业学院附属医院 All Rights Reserved