我院骨科中心完成机器人辅助跟骨微创内固定术-川南首例

时间:2023-08-14 浏览量:2484 来源: 作者:邓佳燕

近日,市民程某因不小心摔倒,感觉足部疼痛难忍,于是来我院骨科中心就医,经过仔细检查诊断为粉碎性跟骨骨折;对于粉碎性跟骨骨折,需要尽快采取手术复位固定,否则,极易造成畸形愈合,影响足部正常功能。

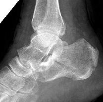
患者术前影像显示根骨粉碎性骨折

常规切开复位内固定术创伤大、复位不准确,存在慢性疼痛、皮肤坏死、足踝活动受限、创伤性关节炎等风险。于是,骨科在中心主任吴超带领下,采用第三代天玑骨科手术机器人为程某开展跟骨微创内固定手术,该手术时间短、透视少、实现了精准复位和螺钉固定;术后影像显示螺钉位置良好,患者关节面恢复。

术中螺钉路径规划,机器人辅助置钉

术后影像显示螺钉位置良好

据了解,本次机器人辅助跟骨骨折微创内固定是在川南地区首次开展的术式,为跟骨骨折的微创内固定提供了一种新的手术方式;我们将继续开拓机器人在微创领域的手术方式,不断提高医疗技术水平,为患者带来更好的手术效果。

急救电话:0813-120  预约挂号电话:0813-2401126、0813-2401026 投诉电话:2300337
联系电话(传真):0813-2201981  电子邮箱:zg_120@126.com 咨询电话:0813-2102560

南湖总院:四川省自贡市自流井区紫薇路1331号  檀木林院区:四川省自贡市自流井区檀木林街19号 汇东院区:四川省自贡市自流井区丹桂大街400号
办公时间:上午8:00-12:00,下午14:30-17:30(周一至周五,节假日除外)

蜀ICP备13006683号-1Copyright © 2002-2026 四川省自贡市第四人民医院 自贡市急救中心 四川卫生康复职业学院附属医院 All Rights Reserved