儿童肺炎支原体肺炎

时间:2025-05-19 浏览量:1342 来源: 作者:蔡春红



肺炎支原体肺炎是我国 5 岁及以上儿童最主要的社区获得性肺炎肺炎支原体感染引起的肺部炎症,可以累及支气管、细支气 管、肺泡和肺间质。

 

发热、咳嗽为主要临床表现,可伴有头痛、流涕、咽痛、耳痛等。发热以中高热为主,持续高热者预示病情重。咳嗽较为剧烈,可类似日咳样咳嗽。

 

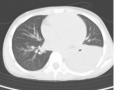
重症肺炎支原体肺炎,可出现呼吸困难、胸痛、咯血等表现。肺部CT可见:塑形性支气管炎、胸腔积液、肺实变和坏死、肺栓塞等表现(如下图)

 

 

 

 

通过实验室检测:支原体-DNA 或 支原体-RNA 检测,支原体抗体测定,支原体的耐药性检测,明确感染的病原体是:肺炎支原体。

 

轻症肺炎支原体感染者可通过口服大环内酯类药物治疗,病程多在7~10天左右,一般预后良好,不遗留后遗症。

    如下以下重症的表现需要住院治疗:

①持续高热(39 ℃以上)≥5天或发热≥7天。

②出现喘息、气促、呼吸困难、胸痛、咯血等之一。

③影像学表现实变胸腔积液

急救电话:0813-120  预约挂号电话:0813-2401126、0813-2401026 投诉电话:2300337
联系电话(传真):0813-2201981  电子邮箱:zg_120@126.com 咨询电话:0813-2102560

南湖总院:四川省自贡市自流井区紫薇路1331号  檀木林院区:四川省自贡市自流井区檀木林街19号 汇东院区:四川省自贡市自流井区丹桂大街400号
办公时间:上午8:00-12:00,下午14:30-17:30(周一至周五,节假日除外)

蜀ICP备13006683号-1Copyright © 2002-2026 四川省自贡市第四人民医院 自贡市急救中心 四川卫生康复职业学院附属医院 All Rights Reserved