大家一定见到过眼睛和皮肤都发黄的人,仿佛一个“小金人”,其实这样的情况不是练就了绝世武功,而是出现了黄疸。肝内或肝外胆管发生阻塞,导致胆汁无法正常进入肠道,反流入血引起全身发黄,称为梗阻性黄疸,也是常见的黄疸类型之一。



根据梗阻位置的不同可以分为低位胆道梗阻和高位胆道梗阻



低位胆道梗阻



高位胆道梗阻

【什么原因引起胆道梗阻?】

引起胆道梗阻的原因众多,包括胆管结石、外科术后胆道狭窄、胆道感染、慢性胰腺炎、寄生虫感染、恶性肿瘤压迫或侵犯等。根据梗阻原因的不同可能伴随黄疸出现腹痛、发热、寒战、消瘦等症状。

【如何治疗胆道梗阻?】

胆道梗阻后,胆红素快速升高,会极大加重肝功能负担,最终导致肝功能衰竭。如何快速、有效的退黄成为梗阻性黄疸治疗的关键措施。介入治疗通过放置胆道引流管、胆道支架等手段能安全、高效退黄,以绝对微创的方式最大限度保护肝功能,为后续治疗创造机会。


【经皮肝穿刺胆道引流术】

在X线透视引导下穿刺扩张的肝内胆管并置入引流管,可以快速引流淤积的胆汁,减轻黄疸、保护肝功能,为后续治疗创造条件。优点在于见效快,能快速退黄和控制胆道感染。缺点在于需长期携带引流管并定期更换,生活质量降低,且胆汁无法进入肠道,影响消化功能。




【经皮胆道支架置入术】

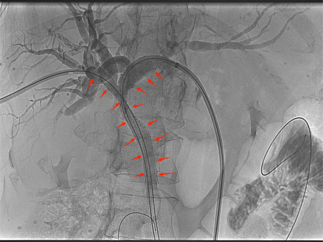
胆道支架置入能很好地弥补经皮肝穿刺胆道引流术的不足之处,通过在胆管狭窄/阻塞处安置金属支架,解除胆道梗阻、恢复通畅,促进胆汁入肠,改善消化功能的同时无需长期带管,显著提高了生活质量,适合短期内有效解除胆道梗阻的患者(如恶性胆道梗阻)。

低位胆道梗阻支架置入

高位胆道梗阻支架置入
变身“小金人”并不可怕,找准病因,用对方法,也能轻松退黄。介入治疗应用于胆道梗阻多年,技术成熟,安全且高效。市四医院介入室能常规开展各类复杂胆道梗阻的介入治疗,高效扫“黄”,为肝功能保驾护航。