病痛连续折磨四年
难以想象有好恼火
更让人心累的是
患者还经历了多次误诊
什么疾病这么狡猾?
它的名字叫
盆腔淤血综
近日,刘女士来到市四医院血管外科就医。据她描述,自从她产下二胎后,下腹部就开始出现胀痛,平躺后可稍缓解,伴随性交痛、白带多、月经多等症状。她在多地医院多次就医问诊,多位专家都说她这是患上了“盆腔炎”。
然而,在吃药、输液后,她的症状均无明显好转。不知不觉间,病痛已经反复折磨了她四年多了,甚至险些影响夫妻感情。
为什么这么棘手?“盆腔炎”的治疗如此困难吗?
在市四医院,专家根据刘女士的检查结果判断,困扰刘女士多年的“盆腔炎”原来是它——盆腔淤血综合征。



什么是盆腔淤血综合征


盆腔淤血综合征是指盆腔静脉血液回流受阻,盆腔静脉曲张、淤血引起的,以慢性盆腔疼痛为主要症状的临床综合征。由于对该病认识上的限制和诊断上的困难,临床上盆腔淤血综合征常被漏诊或误诊。
盆腔淤血综合征病因复杂,发病具体机制不清,总的来说,是由于各种原因导致的盆腔静脉迂曲扩张、充盈淤血导致的综合征。

盆腔淤血综合征有多种多样的临床表现,易与慢性盆腔炎等疾病相混淆。其症状可归纳为“三痛、两多、一少”,即小腹坠痛、低位腰痛、性交痛、白带多、月经多、妇科检查阳性体征少。




什么检查可以帮助诊断



1.彩超检查
彩超检查可以发现卵巢静脉及静脉丛迂曲扩张,卵巢静脉血流缓慢或返流。

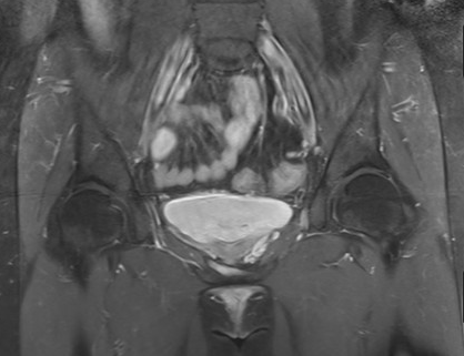
2.增强CT及MRI检查
可显示子宫附件内迂曲、扩张的静脉血管结构。



3.经皮导管逆行卵巢静脉造影术
目前认为是盆腔淤血综合征诊断金标准。





如何治疗盆腔淤血综合征


介入治疗是目前公认的盆腔淤血综合征的首选治疗方案。
盆腔淤血综合征的介入治疗是在局部麻醉状态下,通过股静脉穿刺或颈静脉,引入导丝、导管,插入到盆腔静脉,进行盆腔静脉造影及予以硬化剂、金属弹簧圈等予以栓塞,将有病变扩张的盆腔静脉进行封闭,从而达到治疗的目的。


盆腔淤血综合征的介入治疗具有安全性高、创伤小、效果确切、不影响月经及生育的特点。
在四院接受介入治疗后,困扰刘女士四年多的盆腔瘀血综合征终于得到解决,目前已经康复出院。